Case Study 1: is a tiny camera mounted on the tip of a wand. It takes a video of the inside of your mouth transmitting it to a screen for viewing. This camera is a valuable tool enabling patients to view areas in need of treatment.

Before

Before

After

After

 

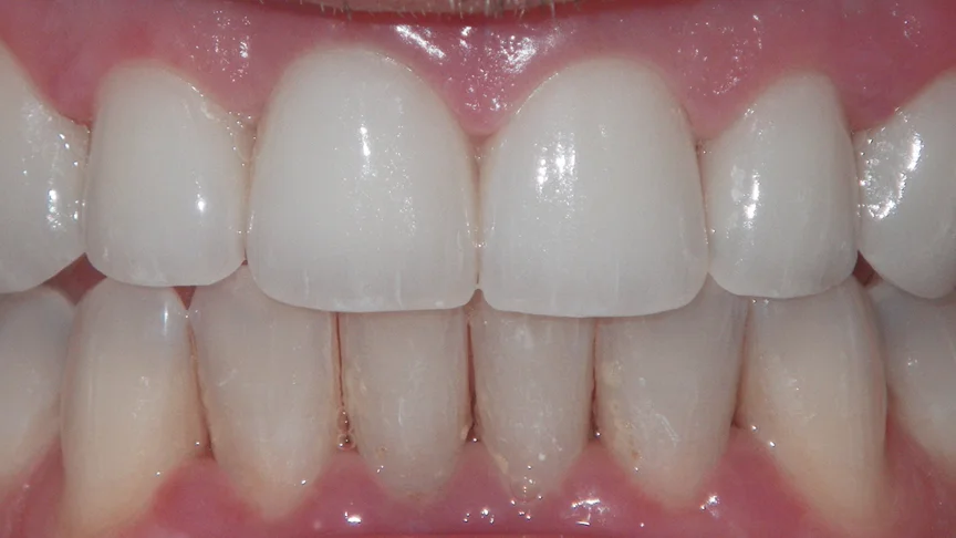
Case Study 2: is a tiny camera mounted on the tip of a wand. It takes a video of the inside of your mouth transmitting it to a screen for viewing. This camera is a valuable tool enabling patients to view areas in need of treatment.

Before

Before

After

After